임플란트
성격이 매우 급하신 환자분과의 11개월간 임플란트 치료
페이지 정보
작성자 영플란트치과 작성일21-11-09 16:55 조회824회 댓글0건본문
올해 1월 처음으로 내원 하셨을때 환자분이 기억납니다.
성격이 매우 급하신 74세 아버님이셨는데 들어오시자마자 데스크에서
"이가 안좋은데 빼고 다 새로 심어줘. 바로 되지?"


상황을 보니 우식으로인한 치아 파절도 많으셨고 치주염도 전체적으로 많이 진행이 되셔서
살릴 수 있는 치아가 거의 없었던 상황이었습니다.
"아니요 아버님. 치료 기간도 오래 걸리시고 비용도 많이 나오시고 고생도 많으실거에요...." ^^;;
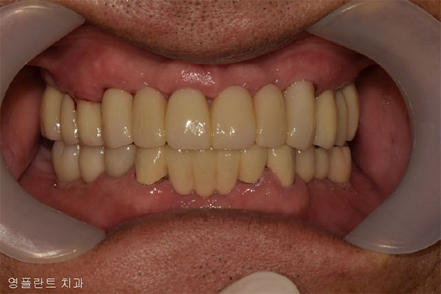
물론 아래처럼 치료를 잘 마쳐드리긴 했습니다. ㅠㅠ


그나마 살릴 수 있는 하악 앞니가 많지는 않았지만 브릿지를 통해
완성을 해드렸고 나머지 치아들은 임플란트를 통해서 저작의 즐거움을 되찾아드렸습니다.
치료 받으시는 11개월동안 치료가 왜 이렇게 오래 걸리냐고 많이 다그치시기도 하셨고
그때마다 치료 과정을 다시 설명드리고의 연속이었습니다.
마지막 내원 후 만족스러운 치료 결과를 보시고 나서는
"내가 성격이 많이 급해. 그동안 미안했어." 하시고 웃으면서 가셨는데
치료가 너무 잘되서 좋기도 하고 살짝 억울?한 느낌도 드는 환자분이셨네요.
꼼꼼하게 잘 해드리려고 한거니까 너무 서운하게
생각하시지 마세요 아버님~~^^






















