메뉴로고
카카오메뉴
Q
영플란트 15년, 좋은 치과의 기준을 말하다.
조회수 : 141589
A

영플란트 15주년을 돌아봅니다. 


한자리에서 15년을 하다보니 참으로 다양한 케이스를 치료하면서

환자분들께 웃음을 되찾아드렸습니다.


문득 그런 생각이 들었습니다.

환자분들은 어떤점때문에 우리 치과에 오시고

믿고 맡겨주실까? 또 영플란트가 앞으로의 15년을 어떻게 가야할까?


최근 8년간 저희 치과의 통계자료를 꼼꼼히 분석한 것을 바탕으로

환자분들이 어떤 부분을 선호하셨는지와 더불어 좋은 치과를 선택하시는

기준에 대해서 이야기 해보려합니다.



 


첫번째! 친절함

첫번째 이유는 의외로 치료비용도 원장의 경력도 아닌 친절함이었습니다.

치아가 불편해서 식사를 못하시고 크고 작은 통증에 시달리시는건

정말 사람을 예민하게 만드는 이유이다보니 가뜩이나 소리만 들어도 무서운

치과에 오셨을때 우선적으로 편안함을 느끼시는게 가장 중요하셨을지도 모르겠습니다.


두번째! 입소문

임플란트와 보철 치료를 주력으로 해오면서

나름의 소신을 갖고 시간이 좀더 오래걸리더라도 기본에 충실하게, 꼼꼼하고 튼튼하게

임플란트 치료를 진행해왔습니다.


저희 치과의 경우 치료가 비교적 심플한 환자분들도 많이 오시지만

최근 5년 동안에는 케이스가 큰 전악 임플란트 환자분들이나 타치과에서 진행하신 임플란트가

식립한지 얼마 안됐는데 망가져서 오시는 경우가 크게 늘었습니다.


많은 환자분들이 찾아주시는 것에 대해 늘 감사하게 생각하고 최선을 다해 치료하지만

때때로 저희 치과에서 먼저 진단과 상담을 받으시고 단순히 가격때문에

다른 치과에서 치료 진행하셨다가 잘못되어 오신 경우를 볼때는 많이 속상하기도 합니다.


어디에서 치료를 받을지는 환자분의 선택이시지만

결과적으론 비용과 시간이 최소한 두배 이상 할애가 되는 부분이지요.

영플란트와 인연을 맺은 적이 없으신 환자분과는 또 다른 안타까움입니다.



세번째! 가격

가격에 대한 이야기는 어찌보면 위의 이야기의 연장입니다.

환자분의 입장에서 가격은 정말 무시하지 못하는 부분이지요.

저희도 잘 알고 있습니다.


요즘 많은 치과들, 특히 수도권의 치과들이 싼 가격과 빠른 치료 속도로

마케팅도 많이 하고 지방의 환자분들도 많이 올라가셔서 치료를 받으시기도합니다.

 

실제로 대부분의 원장님들, 특히 우리 나라의 치과 원장님들은

수준급이신 분들도 많고 실제로 홍보 하시는 내용처럼 치료를 잘 해주십니다.


하지만 그에 반해 그렇지 않은 곳도 분명히 일부 존재합니다.

그렇다보니 환자분이 생각하시는 치료 결과에 미치지 못하는 결과가 실제로

많이 나오기도 하지요.






 

환자 여러분의 사랑에 다시한번 감사드립니다. 



Q
뼈이식도 하는데 잇몸이식은 뭔가요?
조회수 : 1806
A

안녕하세요!

합리적인 치과진료의 기준! 영플란트입니다. 


여러분 혹시 잇몸이식(치은이식술)이라고 들어보셨나요?

아마도 많은 분들이 임플란트를 하시면서 뼈이식(치조골이식)에 대해서는

많이 알고계셔도 잇몸이식은 생소하실 수 있으실거 같습니다. 


그래서 준비했습니다 

잇몸이식을 왜 해야하고 어떤 상황에 하셔야 하는지 알아보겠습니다. ^^

* 참고로 잇몸이식은 정말 꼭 필요한 경우에만 진행한다는 점 먼저 말씀드리고 시작합니다!




잇몸 이식은 왜 하는걸까요?


1. 건강한 잇몸은 임플란트를 안정적으로 오래 유지할 수 있는 조건중에 하나입니다.  


    먼저 구강 내의 잇몸 종류에는 단단한 잇몸(입천장 쪽)과 연한 잇몸(볼 안쪽)이 있습니다. 

    임플란트 주변에는 두껍고 튼튼한 잇몸조직이 감싸고 있어야 임플란트 주변에 치은염과 같은 문제들이

    발생할 가능성이 낮아집니다. 


2. 얇은 잇몸은 입술과 볼의 움직임으로인한 장력(당기는 힘)의 영향을 받습니다.


    얇은 잇몸에 입술과 볼의 장력이 작용하게 될 경우

    임플란트 주변에 음식물 찌꺼기와 세균의 침투가 더 쉬워집니다.

   

    그러다보니 입술이나 볼의 장력을 차단하기 위해서 임플란트 주변에는 일정 수준 이상의

    두꺼운 잇몸(각화치은, 부착치은)이 형성되어 있는 것이 치주학적인 관점에서도 매우 중요합니다.

    또한 물리적으로도 두꺼운 잇몸이 임플란트를 더 안정적으로 지지하는 역할도 하지요.


  

  아래 사진을 보실까요? 

  치아가 없으신 상태로 오랜 시간 방치를 한 45세 여성 환자분의 사진입니다.

  대부분의 환자분들은 치조골 이식 후 임플란트를 식립하는 경우가 대부분이지만 아래 환자분은 

  잇몸까지 너무 얇아서 푹 꺼져있습니다. 

  

  아래 환자분의 경우 뼈이식을 하고 임플란트를 식립 하셔도

  예후가 좋지 않을 것이 너무도 뻔합니다.

  따라서 이러한 케이스의 경우 잇몸이식(치은이식술)을 고려하게 됩니다.


  첫번째 치료전 사진의 푹 꺼져 있는 잇몸이 치료 후에는 두번째 사진처럼 두꺼운 잇몸이되어 임플란트를

  안정적으로 오래 유지하는데 많은 도움을 주게됩니다.

  물론 이식한 조직의 색깔도 시간이 지남에따라 자연스럽게 바뀝니다. 


      


  잇몸이식의 방법이 주로 입천장에서 조직을 채취하여 임플란트가 식립 될 잇몸에 이식을 하다보니

  환자분의 입장에서는 더 고생스러우신 것은 사실입니다.


  조직의 채취는 간단한 국소마취를 하고 진행하면되지만

  조직을 떼어낸 입천장은 자연치유가 되는 일주일 정도는 따끔거리고 불편합니다.

  또한 이식한 조직이 기존 잇몸과 합쳐져 치유되는데에도 시간이 더 들어가는 것도 사실이지요.


  임플란트는 큰 돈과 많은 시간을 투자하시는 만큼 한번 식립하시면 

  오래오래 편안하게 사용하시는게 관건인 치료입니다.


  임플란트 치료전 잇몸이식을 권장 받으셨다면 꼼꼼한 상담을 통해 지금 당장보다는

  치료 이후를 생각해보셨으면 좋겠습니다.


  지금까지 예후가 좋은 치과!

  영플란트였습니다. 감사합니다. ^^

Q
뼈이식(치조골 이식)은 정말 상술일까요? - 호미로 막을 것을 가래로 막는다.
조회수 : 26286
A

여러분 안녕하세요.

합리적인 치과진료의 기준 천안영플란트입니다.


오늘은 환자분들이 정말 많이 여쭈어 보시는 주제인 뼈이식(치조골 이식)에 관해 이야기 해보려합니다.

언제부턴가 뼈이식은 임플란트에 있어서 정말 정말 정말 중요한 과정인데

치과에서 가격을 부풀리기 위한 상술 정도로만 보시는

잘못된 인식을 가지신 많은 분들이 계셔서 안타까운적이 많습니다.


오늘은 바로 사진부터 보시면서 시작을 해보겠습니다!

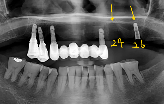
2017년 11월 처음 내원당시 59세의 여성분이신데요


다른 치과에서 3년전에 식립하신 임플란트인데 24번 임플란트는 이미 픽스처(뿌리)가 빠졌고

26번 임플란트는 픽스처(뿌리)가 보철이 탈락되면서 함께 부러져버렸습니다

어찌된 일일까요?




 

*파란 외곽선이 뼈가 남아 있는 형태이고 노란색 나사모양이 바르게 심어질 임플란트의 식립 계획입니다. 


위에 파란 선을 따라가면서 보시는 부분이 치조골(뼈)입니다. 

왼쪽 사진 24번 임플란트의 경우 저희가 다시 식립을 하기 위해 계획을 세운 화면입니다.

보시다시피 임플란트를 지지해줄 수 있는 뼈가 거의 없다시피하고

현재 부러진 상태로 남아있는 오른쪽 사진의 26번 임플란트의 경우는 겨우겨우 남아있는 뼈에

식립이 되어있는 상태입니다.


위의 환자분의 경우 픽스처(뿌리)를 잡아줄 수 있는 치조골이 없다보니 임플란트 고정력이 제대로

나오지 않는것은 너무도 당연한 일이고 조금만 관리가 잘못되셔서 염증이 생긴다면 그나마 남아있던

치조골마저 녹아서 없어지니 예후가 안좋을 수 밖에 없습니다.


다음 사진을 보실까요?


 
 

왼쪽은 위에서 보셨던 24번, 오른쪽은 26번 치아에 뼈이식을 정상적으로 진행하고 새로 임플란트를

식립한 상태입니다.

이식한 치조골이 안정적으로 임플란트를 고정하고 있는 모습이 한눈에 보이시지요?



이렇게 보철까지 체결되어 임플란트가 안정적으로 완성이 되었습니다.

총 치료기간은 발치 후 3개월 대기, 치조골 이식과 임플란트 식립 후 8개월 대기 총 11개월 대기 후에

추가적인 대기 시간을 거쳐 최종 보철까지 올라갔습니다.


전에 타치과에서 임플란트 식립하시면서 수백만원은 투자 하시고

3~4개월정도 걸리셨을 것으로 예상이됩니다.


그리고 3년도 못쓰시고 다시 저희 치과에서 수백만원을 투자하시고 1년 반의 시간을 또 투자하셨습니다.

결국 비용은 비용대로 몇배로 더 투자하시고 시간도 몇배로 투자하셔서 비로소 제대로된

임플란트를 식립을 하시게된 결과입니다.


치조골 이식 필요 없이 안정적으로 임플란트 식립이 가능하고 고정력이 충분히 나와준다면

당연히 치조골 이식이 없이 임플란트를 식립하는 것이 맞습니다.


처음부터 위의 환자분께 비용이 조금 더 들더라도 제대로된 치료계획을 안내하고

정기적인 검진만 잘 이루어졌다면 어땠을까요? 


분명히 숙련된 의사였다면 위 환자분의 케이스에 

"치조골 이식 없이 식립했을때 예후가 좋지 않을거란걸 분명 아셨을텐데도 말이지요!"


비용이 적게 나오면 당장은 환자분 입장에서 좋겠지만 이중 삼중으로 시간과 비용을 투자한 환자분의 손해는

어떻게 해야할까요?


정말 극소수의 치과들이 당장의 비용을 줄여드리기 위해 혹은 비용을 부풀리기 위해 치조골 이식을

이용한다는 이야기를 들은적이 있습니다. 정말 안타깝습니다.


치조골 이식이 필요하다면 왜 필요한지 환자분에게 정확하고 자세하게 안내하고

앞으로의 치료 계획과 예후에 대해서 올바른 설명이 선행되고 치료를 하셔야

마음까지 편안한 임플란트를 오래오래 쓰실 수 있습니다.


어디에서 치료를 받으시든 치료계획에 대해서 이해가 되실때까지

물어보시고 또 물어보세요.

끝까지 성실하게 그 질문에 대답해드리고 또 설명드리는 치과가

진짜 좋은 치과입니다.


이상 예후가 좋은 치과!

영플란트였습니다. ^^



 




Q
임플란트의 수명은 어떻게 되나요?
조회수 : 20830
A

어떤 이유로든 치아를 잃고 비싼 비용을 들여서

임플란트를 하는것.... 이 자체로도 상실감이 크고 속상합니다.


그런데 임플란트 수명은 어떻게 되는지

혹시 알고 계셨나요?

저희 환자분들도 정말 많이 하시는 질문중에 하나입니다. 


결론부터 말씀 드리면 임플란트의 수명은

정해져있지 않고 식립 이후 환자 개개인별 변수가 너무 많아

명확히 말씀드릴 수 없는 부분입니다.


2018년 4월 대한치과보철학회지에 실린

['국내에서 치료된 고정성, 가철성, 그리고 임플란트 보철물의 수명 및 성공률 분석']이라는

논문의 통계자료에 의하면 임플란트의 생존율은7.99년에 ±0.3년으로 보고되어 있습니다.

즉 8년 전후이지요.


하지만 위에 언급된 수명은 말그대로 통계일뿐

모두에게 적용되는 이야기는 아닙니다.


아래 사진을 보면서 말씀들 드려보겠습니다.


만65세 여성분의 2012년 임플란트 식립 당시와 현재.



 

                         


만58세 남성분의 2012년 임플란트 식립 당시와 현재. 



 

                              

위의 환자 두분의 공통점은 정기검진에도 잘 나오시고 번거롭고 귀찮으시지만

평소에 관리를 잘 하신 환자분들입니다.

8년이 지난 지금도 불편 없이 튼튼하게 잘 사용하시고 계십니다.



임플란트의 수명을 결정짓는 것은 숙련된 의사가 최적의 위치에 

좋은 예후를 고려하여 심는 것도 중요하지만 식립 이후에 환자분의 관리도 중요합니다.




반면에 아래 사진의 환자분은 71세 남성분으로 평소 정기검진에도 잘 안나오시고 

임플란트 관리가 안되셔서 기존 임플란트를 제거하고 재식립 하신분입니다.


"정기검진이라도 꾸준히 나오셨다면 저희가 예방책도 말씀 드리고 좋은 잔소리?도

해드렸겠지만 5년만에 아프다고 오셔서 사진을 찍어보니 염증으로인해 치조골이

소실되셔서 제거 후 재식립이 불가피했습니다."



 

위의 사진에서 보시는것처럼 단적으로 말씀드리면 임플란트는

식립 후의 관리가 정말 중요합니다.


어떻게 하면 임플란트를 오래오래 잘 쓰실 수 있으실까요?

간단하지만 귀찮아서 못지키시고 안지키시는 방법이지만 아래 세가지 만큼은 꼭 지키셔야합니다.


1. 식립 후 정기적인 검진에 바쁘고 귀찮으셔도 꼭 나오셔야합니다!


2. 임플란트는 구조상 음식물이 잘 끼이는 경우가 있으니 제때 제거를 해주시고

    올바른 양치질과 구강관리를 하셔서 염증을 예방하셔야합니다!


3. 흔들리는 느낌이 있거나 뭔가 조금이라도 불편감이 느껴지시면 부담 갖지 마시고

    바로 바로 내원하셔서 점검을 받으셔야 사전에 예방이라도 할 수 있습니다!

 

임플란트의 수명이 반영구적이라는 말이 있기도한데 이 말은 맞기도하고 틀린말이기도 합니다.

쉽게 말씀드려서 긴 시간과 큰 비용 지출하셔서 어렵게 만든 임플란트를 기왕이면 오래 오래

쓰시는 방법은 결국 귀찮음을 이겨내시고 평소에 꼼꼼히 관리해주시는 방법이 최선입니다.


예후가 좋은 치과!

영플란트치과였습니다.^^

Q
임플란트 가격만 보고 결정하세요?
조회수 : 15508
A

요즘 임플란트 수가의 경쟁이 점차 수도권에서 지방으로 번지면서

경쟁적으로 낮아지는 것은 사실입니다.


그런데 혹시 생각 해보셨나요? 

임플란트 가격이 여기는 69만원, 저기는 100만원 

여기는 뼈이식 비용 별도인데 저기는 뼈이식 비용 포함 또는 안받고 무조건 100만원?


소중한 치아를 잃어버린것도 서러운데 일부 치과들의 경쟁적인 마케팅으로 인해 

혼란까지 겪으면 서러움과 짜증이 밀려옵니다. 


오늘은 위의 질문에 대해서 세가지 관점에서 접근을 해보려고 합니다.


첫번째!

임플란트는 치과의사 입장에서 매우 까다롭고 어려운 진료입니다.

외과, 치주, 보철, 교합에 관련된 많은 지식과 경험이 복합적으로 요구되는 치료이기 때문인데요

그렇기에 무엇보다도 많은 임상경험 축적된 노련한 의사만이 임플란트 치료를 성공적으로 마무리할 수 있습니다.


많은 임상경험과 좋은 예후를 네비게이션 임플란트와 같은 새로운 디지털 수술법이 절대로 대신해주진 못합니다.

전에도 말씀드렸다시피 디지털 수술법은 환자분에따라 선택적으로 적용할 수 있는 수술법중에 하나일뿐입니다.



두번째!

임플란트가 어떤 치과는 69만원, 어떤치과는 100만원 천차만별입니다.

이런 일이 왜 생기고 왜 가능할까요?

안타깝지만 싸면 싼대로, 비싸면 비싼대로 그만한 이유가 있습니다.


물론 임플란트 브랜드에 따른 어느정도 선의 금액은 분명 존재하고

환자분 입장에서 저렴하면 당연히 좋습니다.


그런데 임플란트에 보증기간이 있는건 알고계신가요?

저희 환자분들만 보더라도 임플란트 상담을 하는 내내 보증기간을 물어보시는 분은

10분중에 1분이 계실까 말까입니다.

그정도로 대부분의 환자분들은 보증기간에 대한 개념이 없으십니다.

상담과정에서 저희가 안내를 드리면 그제서야 그런것도 있어요? 하시면서 이해하십니다.


자 그럼 역설적으로 말씀드리면 69만원에 임플란트 업계에서 후발주자의 제품으로

보증기간 적용 없이 심어드리면 가능한 금액일 수 있습니다.

이게 과연 맞는걸까요?


임플란트를 하시려고 치과를 선택하실때에는 어느정도 일관성 있는 금액수준을

임플란트 수가경쟁에 휩쓸리지 않고 수년간 쭉 유지해오는 치과를

선택하시는 것이 좋습니다. 

그런 치과의 의사분들이 진료 철학과 소신을 가지고 진료를 하시는 경우가 많고

문제가 생겼을 경우에 적극적으로 보증기간을 통해 해결을 해드립니다.


세번째!

왜 치조골 이식(뼈이식) 비용이 어떤치과는 별도이고 어떤치과는 없다고 할까요?

결론부터 말씀드리면 뼈이식비용은 별도여야하고 필요 없으면 0원이고

뼈이식이 들어가는 양만큼 견적이 산출되어야 합니다.


최근에 저희 경영지원팀에서 주변 지역의 치과 시장조사를 하면서 이런 치과를 심심치않게 볼 수 있었는데요 


"저희는 뼈이식 비용은 받지 않고 120만원입니다."


뭐 여기까지는 이해할 수 있습니다. 그런데 이상한건 뼈이식을 안해도 120만원입니다.

분명 뼈이식을 하는데도 뼈이식 비용은 안받고 120만원이라는 이상한 상담을 받고 오십니다.


결국 뼈이식을 하고 120만원이라는건데 안하는 경우에는 얼마라도 금액이 더 줄어야 맞는것 아닐까요?

또 뼈이식 양은 얼마나 되는데 120만원이고 실제로 뼈이식에 대한 금액은 얼마일까요?


그런데 더 이상한건 환자분들이 비교견적을 받기 위해 저희 치과에 오셔서

임플란트가격에 뼈이식 비용을 별도로 안내를 해드리면 여기는 왜 뼈이식 비용을 따로 받냐고 따지십니다.

금액은 저희가 더 저렴한데도 불구하고요.


그럼 저희는 상담과정에서 거꾸로 환자분에 여쭙습니다.

"선생님 임플란트는 어디제품인지 물어보셨을까요?"

"뼈이식이 왜 들어가고 어디에 어떻게 얼마나 들어가는지 물어보셨을까요?"

"보증기간은 얼마나 된다고 하시던가요."


이렇게 여쭈어보면 많은 환자분들이 상담과정에서 이런 내용들을 듣지 못하고

오시는 경우가 정말 많습니다.


단적으로 저희 치과를 예를 들면 2012년 1월 개원이래 신제품 도입에 따른 새로운 가격책정을 제외하고는

가격변동이나 보증기간 유무에도 변동이 없었습니다.

이런 저희 치과의 소신을 기꺼이 믿어주시고 치료를 받으신 후 다른 환자분의 소개로 이어지는 경우가 대부분이지만 

그렇지 않으신 환자분들도 분명 계십니다.


적게는 수백만원에서 많게는 수천만원까지 정말 큰 돈을 들이셔서 

제2의 치아라고 불리는 임플란트 치료를 하시는데 일부 치과의 말도안되는 마케팅에

휩쓸리시는것을 보고 있으면 너무 안타깝습니다.


여러분! 치아는 오복중의 하나가 맞습니다.  

그리고 그 오복을 대체하는 임플란트는 무엇보다 편안하게

오래오래 쓰셔야하고 큰 비용을 들이신만큼 보증기간을 통해

보증을 받으셔야하고 치과의 정기적인 세심한 관리도 함께 수반되어야합니다.


결국 결정은 환자분께서 하시는 부분입니다.

하지만 저희가 위에서 말씀드린 3가지 만큼은 꼭 따져보시고 물어보셔서

후회없는 완벽한 임플란트 치료를 받으셨으면 하는 마음입니다.

긴 글 읽어주셔서 감사합니다.^^


Q
안타까운 임플란트 과장광고.
조회수 : 122247
A

Question.

다른데는 네비게이션 임플란트 된다는데요?

하루만에 임플란트 심고 보철까지 올린다는데요?




 

Answer.

여러분 이런 광고들 한번쯤 보신적 있으시지요? 


  - 당일 임플란트 완성, 식사 가능! 

  - 통증 없이 10분이면 OK!

  - 네비게이션 임플란트로 빠르게!

  - 임플란트 전문의가 직접 진료!

  - 임플란트 전문병원!


저는 이런 과장광고를 볼때마다 치과의사로써 많은 안타까움을 느낍니다.

임플란트 치료는 저런 과장 광고를 보면서 쇼핑을 하셔서도 안되고

패스트푸드같은 개념도 아닙니다.


결론부터 말씀드리면


1. 당일에 식사가 가능한 임플란트 완성? 이런 경우는 매우 제한적입니다.

    

    보통 임플란트의 경우 픽스처(뿌리)를 심고 치조골과 융합되어 단단히 고정되는데 상당한 시간이 걸리며

    3개월 정도의 시간을 보내서 고정이 잘 되었다면 그때 최종 보철물을 장착하게됩니다.


    하지만 아주 드물게 제한적인 케이스를 가진 환자분들도 계십니다.

    뼈상태를 비롯해 기타 구강 컨디션이 아주 좋으신 환자분들의 경우 임플란트 후 임시치아로

    바로 식사가 가능하신 분들도 계시지만

    모든 환자분들에게 적용 가능한 이야기는 아닙니다.

    그렇기에 누구나 당일에 임플란트를 완성하고 저작이 가능한것처럼 광고를 하는 것은 옳지 않습니다.




2. 통증이 없는 임플란트 수술은 없습니다. 수술시간은 정해져 있지 않습니다.

    

    임플란트 수술은 약간의 통증을 수반할 수 있습니다.

    마취단계에서부터 수술까지 의료진이 충분한 시간을 가지고 최소한의 통증을 위해 노력을 하지만

    환자분마다 통증을 느끼는 정도의 차이는 있습니다.

   

    수술시간 역시 환자분의 컨디션, 치아상태, 뼈상태, 계획과 그밖의 변수 등등 수술시간은 정해져있지 않습니다.

    보통은 길게 걸리지 않는 것은 사실이지만 과장광고에서 말하는 몇개 식립에 몇분, 5분 완성 이런 광고들은 모두 거짓입니다.




3. 네비게이션 임플란트가 절대적인 대안은 아닙니다. 

    

    최근 몇년사이 네비게이션 임플란트가 나오면서 환자분들이 많은 문의를 주십니다.

    3D 모의 시뮬레이션을 통해 임플란트 식립 위치를 미리 결정하고 수술유도장치를 제작해서 임플란트를 식립하는

    아주 편리하고 획기적인 수술법인것은 맞습니다.

    하지만 네비게이션 임플란트의 실패율도 심심치않게 보고되고 있습니다.


      - 네비게이션 임플란트는 환자분의 구강상태에 따라서 선택적으로 적용이 되어야하는 수술 방법중 하나입니다.

      - 네비게이션 임플란트 역시 경험이 많은 숙련된 치과의사가 가능성을 판단하고 진행을 해야 성공률이 높습니다.

      - 최근 개원한지 얼마 안된 경험이 없는 치과에서 무분별하게 네비게이션 임플란트만 믿고 임플란트를 식립하는 경우가 많습니다.

        비유하자면 베테랑 택시기사는 네비게이션 없이 목적지에 빠르고 편안하게 도착하는 것과 같은 이치입니다.




4. 현행법상 임플란트 전문의라는 자격도 없고, 임플란트 전문 병원은 지정 대상이 아닙니다. 

   

    임플란트 수술은 치과의사 자격을 가진 사람이라면 누구나 할 수 있는 진료입니다.

    그렇기에 더더욱 임플란트 수술은 경험이 많은 숙련된 의사에게 환자 개개인의 상황에 맞는 방법으로 임플란트 수술을 받는것이

    가장 바람직합니다.




Q
A치과는 견적이 300만원, B치과는 150만원? 어떤게 맞는걸까요?
조회수 : 1770
A

Question.

치료계획이 다른 치과와 왜 다른가요? 


Answer.

다른 치과에 먼저 다녀 오신 환자분들이 가끔 저희 치과에 오셔서 

물어보시는 질문이십니다.


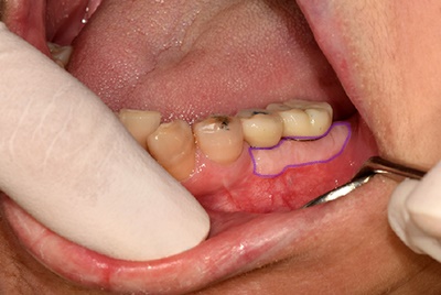
예를 들어 다른 치과에서는 어금니 6번 치아 1개만 발치하고 임플란트 식립을 하자고 하셨습니다.

아래 그림처럼요.




 

하지만 저희 영플란트에서는 아래 그림 처럼 양 옆의 7번과 5번 치아를 발치 하고 임플란트 2개를 식립한 후

브릿지로 6번을 만들자고 제안을 드렸습니다. 


 

왜 진단이 다르게 나왔을까요?  


결론부터 말씀드리면 그렇게 하셔도 지금 당장은 괜찮습니다.

하지만 가까운 1년 ~ 2년 후에는 어떨까요?


6번에 큰 돈과, 시간을 들여 고생하시면서 임플란트 식립을 완료 했다고 가정을 해보겠습니다..

하지만 양쪽 7번과 5번 치아 또는 둘중 하나의 치아가 염증, 흔들림, 좋지 않은 뼈상태를 가지고 있다면

과연 6번 임플란트 치아를 잘 사용할 수 있을까요?


당장은 괜찮은 치료 방안일 수 있습니다.

일단 비용과 시간, 고생이 덜 하실테니까요.

하지만 장기적으로 보면 어떨까요?


치아는 저작시에 혼자 일을 하지 않습니다. 

주변치아와 힘을 분산하며 각자의 역할을 하고 서로 영향력을 주고 받으며 저작활동을 합니다. 

이런 치아들의 밸런스와 컨디션을 무시하고 지금 당장 문제가 있는 치아를 새로 만든다고 해결이 되지 않습니다.


가까운 미래에 양쪽 치아에 점점 문제가 생기고 더 심한 경우 시간과 비용을 들여 식립한 임플란트

치아까지 문제가 생기면 결과적으로는 더 많은 비용과 시간을 재투자 하시고 더 많은 고생을 하셨지만

오히려 더 만족스럽지 못한 결과만 나오게 됩니다.


물론 당연히 자연치아를 최대한 보존하는 것은 저희 영플란트의 사명입니다.

하지만 임플란트 치아를 중심으로 가까운 미래에 문제가 생겨 이중, 삼중으로 고생하실 것이 뻔히

보인다면 과연 어느쪽이 더 나은 선택일까요?



 

임플란트는 당장 편하기 위해 식립하는 것이 아닙니다.

제2의 치아인 임플란트의 수명을 결정하는 것은 경험이 풍부한 숙련된 의사의 진심과 노력입니다.