임플란트
생업이 바빠 치료시기를 놓치신 환자분의 사연
페이지 정보
작성자 영플란트치과 작성일20-05-01 17:14 조회522회 댓글0건본문
여러분 안녕하세요! ^^
예후가 좋은 치과, 영플란트치과입니다.
오늘은 생업에 종사하시느라 바쁘셔서 정작 자신의 치아 건강은 챙기시지 못한
37세의 젊은 남성 환자분의 사연입니다.
처음 내원하셨을때 위의 사진처럼 치주염이 매우 심하신 상태였고
선천적으로 치열도 고르지 못해 치아 관리가 안되고 계신 상태였습니다.

평소 운전업에 종사하시면서 불규칙한 생활 패턴, 흡연, 음주, 선천적으로 좋지 않은 치열로 인한 관리 소홀까지
겹쳐 젊으신 나이에 자연치아를 모두 상실하셨습니다.

결국 살릴 수가 있는 자연치아가 없어 모두 발치를 결정하고 전악 임플란트를 진행하게 되었습니다.
오랫동안 방치된 치주염과 기타 질환의 영향으로 많은 양의 치조골이 유실되었기에 치조골 이식양도 상당히 많았습니다.

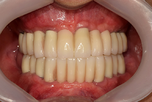
최초에 내원하시고 1년 4개월이라는 시간을 거쳐서 글을 쓰는 바로 오늘 최종적으로 모든
임플란트 치아가 완성됐습니다.
이제부터 저희 영플란트는 3개월정도 환자분을 지켜보면서 환자분의 적응 상황과 불편하신점에 대해서 꼼꼼히 듣고
보정해드리는 시간을 거쳐 편안함에 완벽함을 더하게됩니다.
오늘 완성을 해드리면서 만감이 교차하시는 환자분의 눈빛을 읽었습니다.
젊으신 나이에 먹고 사는게 바빠서 머릿속으로 치료 받아야지...
생각만 하셨던 세월이 너무 후회스럽다고 하셨습니다.
밝은 미소를 되찾으신 만큼 환자분의 밝은 미래와 건강이 함께하길
저희 영플란트가 기원합니다!
고생 많으셨습니다. ^^























